← Back to news
Utility of a freehand frameless navigation system in computed tomography-assisted ventral bulla osteotomy for otitis media in calves

Utility of a freehand frameless navigation system in computed tomography-assisted ventral bulla osteotomy for otitis media in calves

Published: February 13, 2026 · Plos.org

View original

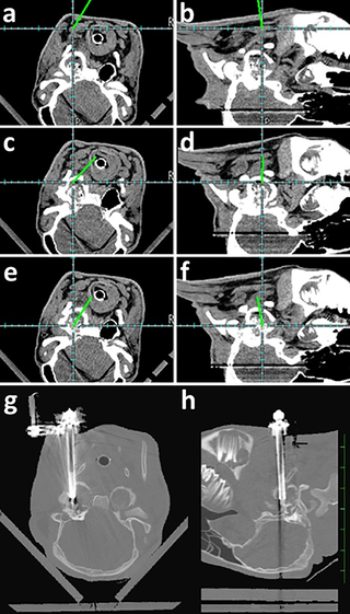
Ventral bulla osteotomy has not been widely adopted for treating otitis media in calves due to its prolonged surgical duration (>1 h), high surgical invasiveness, and challenges in application for bilateral cases. This study aimed to evaluate the utility of a…