← Back to news
Subarachnoid neurocysticercosis in a rural area of the Bolivian Chaco: A population-based survey through the use of a novel urine antigen assay

Subarachnoid neurocysticercosis in a rural area of the Bolivian Chaco: A population-based survey through the use of a novel urine antigen assay

Published: April 27, 2026 · Plos.org

View original

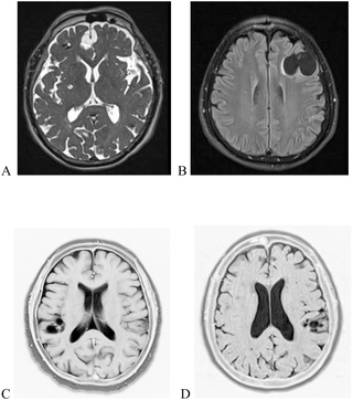
Author summary Human neurocysticercosis (NCC) is a parasitic disease caused by the localization of the larval stage of Taenia solium in the central nervous system after ingestion of the parasitic eggs. It represents a relevant health issue in low-middle-incom…